Services

Scar Endometriosis

Scar endometriosis is a rare form of endometriosis in which endometrial-like tissue develops within or around a surgical scar. It most commonly occurs following procedures such as cesarean section (C-section), laparoscopic surgeries, hysterectomy, or other pelvic operations. The condition can cause localized pain and swelling at the scar site, often leading to delayed diagnosis.

The hallmark feature of scar endometriosis is cyclical pain or swelling at the surgical scar, which typically worsens during menstruation. Over time, the lesion may increase in size and cause persistent discomfort, affecting daily activities and quality of life. Early recognition and proper surgical treatment are key to complete relief.

Common Symptoms of Scar Endometriosis

Symptoms are usually localized to the scar area and may vary in intensity depending on hormonal changes during the menstrual cycle.

  • Pain at the surgical scar: Often worsening during menstrual periods.
  • Swelling or lump near the scar: May increase in size during menstruation.
  • Localized tenderness: Pain on touch or pressure.
  • Skin discoloration: Rarely, bluish or reddish changes over the scar.
  • Persistent discomfort: Pain that continues even outside menstrual periods.

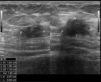
How Scar Endometriosis Is Diagnosed

Diagnosis begins with a detailed history of prior surgeries and symptom patterns. Imaging studies help confirm the diagnosis and define the size and depth of the lesion.

  • Clinical examination: Identification of a tender or firm mass at the scar site.
  • Ultrasound scan: Helps detect a solid or cystic lesion within the scar tissue.
  • MRI scan: Provides detailed assessment of lesion size and tissue involvement.
  • Biopsy or surgical excision: Confirms the diagnosis through histopathological examination.

Treatment Options

Surgical removal is the most effective and definitive treatment for scar endometriosis. Medical therapy alone is usually insufficient and provides only temporary symptom relief.

Scar Endometriosis
  • Wide local excision: Complete removal of the lesion along with a margin of healthy tissue.
  • Reconstruction of the scar: Ensures proper healing and cosmetic outcome.
  • Minimally invasive techniques: Used when feasible to reduce recovery time.
  • Hormonal therapy: May be used temporarily to control symptoms before surgery.

When performed by an experienced gynecologic surgeon, surgical excision offers excellent outcomes with minimal recurrence. Patients typically experience complete resolution of pain and return to normal activities within a short recovery period.

Benefits of Early Treatment

  • Complete relief from cyclical scar pain
  • Prevention of lesion growth or recurrence
  • Improved comfort and quality of life
  • Definitive diagnosis and cure
  • Restoration of normal scar appearance

If you notice pain, swelling, or a lump near a previous surgical scar—especially if symptoms worsen during menstruation—scar endometriosis may be the cause. With accurate diagnosis and expert surgical care, long-term relief and complete recovery are highly achievable.