Services

Endometriosis Diagnosis

Diagnosing endometriosis can be challenging because its symptoms often resemble other gynecologic or abdominal conditions. Many women experience years of discomfort before receiving a confirmed diagnosis. A structured and detailed evaluation is essential to identify the condition early and begin appropriate treatment.

Diagnosis typically involves a combination of thorough medical history, physical examination, and advanced imaging. However, because endometriosis can occur deep inside the pelvis or on organs where imaging may not detect it, minimally invasive laparoscopy remains the most accurate method for confirmation and treatment.

How Endometriosis Is Diagnosed

A structured diagnostic approach helps identify the severity, location, and extent of endometriotic lesions. This ensures precise planning for treatment, symptom relief, and fertility preservation.

  • Detailed Symptom Review: Understanding the nature and pattern of pelvic pain, menstrual discomfort, and fertility concerns.
  • Pelvic Examination: Assessment for tenderness, nodules, and restricted organ movement caused by adhesions.
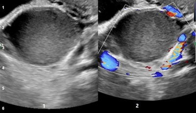
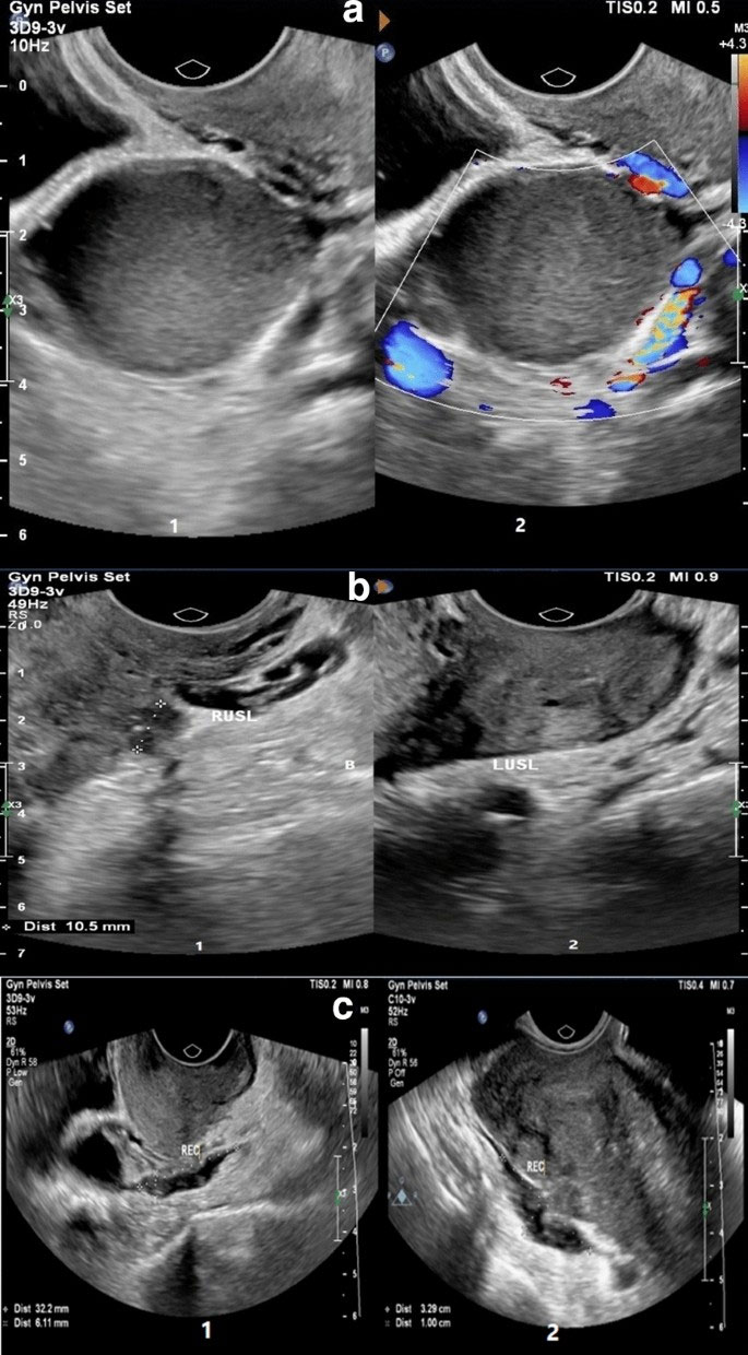
  • Ultrasound Imaging: Useful for detecting ovarian endometriomas (chocolate cysts) and other visible abnormalities.
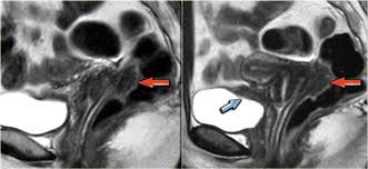
  • MRI Scan: Provides enhanced visualization in cases of deep infiltrating endometriosis affecting the bowel, bladder, or ligaments.
  • Diagnostic Laparoscopy: The gold standard for diagnosis—allows direct visualization of lesions and enables treatment during the same procedure.
  • Biopsy Confirmation: Tissue samples may be taken during laparoscopy for definitive diagnosis under a microscope.

Early and accurate diagnosis is crucial, as untreated endometriosis can lead to worsening pain, pelvic adhesions, ovarian cysts, and fertility challenges. A comprehensive evaluation ensures that every patient receives a tailored, effective treatment plan based on her symptoms and reproductive goals.

Why Early Diagnosis Matters

Endometriosis Diagnosis
  • Helps prevent progression of the disease
  • Improves long-term pain and symptom control
  • Reduces the risk of ovarian cysts and pelvic adhesions
  • Supports fertility preservation and better reproductive outcomes
  • Enables a personalized treatment approach

If you suspect endometriosis or have been living with unexplained pelvic pain, menstrual irregularities, or fertility issues, seeking timely evaluation can make a significant difference. With advanced diagnostic tools and minimally invasive techniques, accurate detection and effective treatment are well within reach.